Cargando...
Atención
Lunes a sábado:
08:00 a.m. a 07:00 p.m.
Escríbenos
+51 940 139 340
Estamos Aquí
Calle Junín 142 Of. 504 -Miraflores, Lima, Perú.
Ecografías obstétricas especializadas
Ecografía de viabilidad embrionaria
Ecografía obstétrica simple
Ecografía genética
Ecografía morfológica
Ecografía obstétrica + 5D
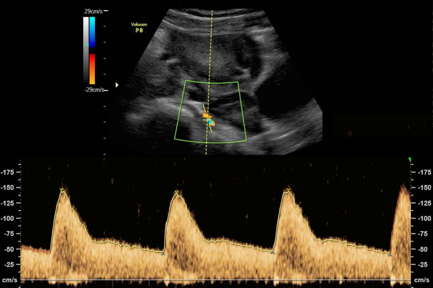
Ecografía obstétrica + Doppler
Perfil biofísico ecográfico
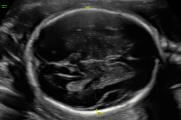
¿Cuál es la ecografía donde puedo ver si todo está bien con mi bebé? – Segundo trimestre